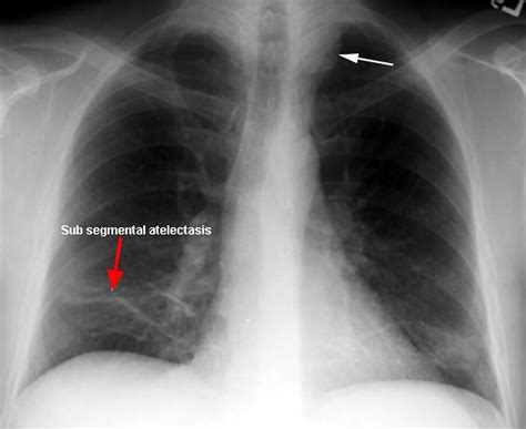
minimal subsegmental atelectasis in the left lung base
minimal subsegmental atelectasis in the left lung base. There are some references to minimal subsegmental atelectasis in the left lung base in this article. If you are looking for minimal subsegmental atelectasis in the left lung base you've came to the right place. We have posts about minimal subsegmental atelectasis in the left lung base. You can check it out below.
No posts matching the query: minimal subsegmental atelectasis in the left lung base. Show all posts
No posts matching the query: minimal subsegmental atelectasis in the left lung base. Show all posts
Subscribe to:
Comments (Atom)
