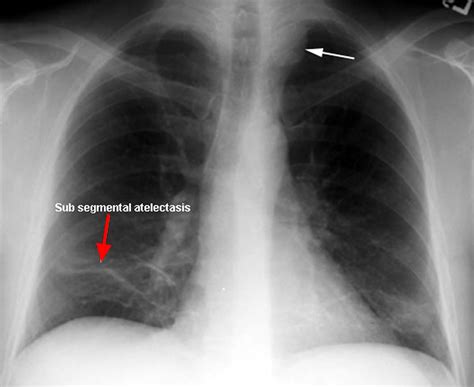
mild subsegmental atelectasis in the right lung base
mild subsegmental atelectasis in the right lung base. There are some references to mild subsegmental atelectasis in the right lung base in this article. If you are looking for mild subsegmental atelectasis in the right lung base you've came to the right place. We have posts about mild subsegmental atelectasis in the right lung base. You can check it out below.
No posts matching the query: mild subsegmental atelectasis in the right lung base. Show all posts
No posts matching the query: mild subsegmental atelectasis in the right lung base. Show all posts
Subscribe to:
Comments (Atom)
